Bọc răng sứ có tốt không? Nên bọc cho trường hợp nào?
Bọc răng sứ có tốt không vẫn luôn là thắc mắc của rất nhiều khách hàng trước quyết định lựa chọn phương pháp làm đẹp này, bởi họ lo lắng rằng răng thật sẽ bị yếu đi, tuổi thọ của răng sứ không cao hoặc không biết bản thân có phù hợp để thực hiện hay không… Nhằm giúp bạn hiểu rõ hơn, hãy cùng nha khoa Dentos khám phá chi tiết trong bài viết dưới đây nhé!
1. Bọc răng sứ có tốt không?
Với câu hỏi bọc răng sứ có tốt không, các nha sĩ Dentos cho biết đây được xem là một phương pháp phục hình răng hiệu quả, nhanh chóng và mang lại nhiều lợi ích cho người sử dụng, có thể kể đến như:
- Tính thẩm mỹ cao
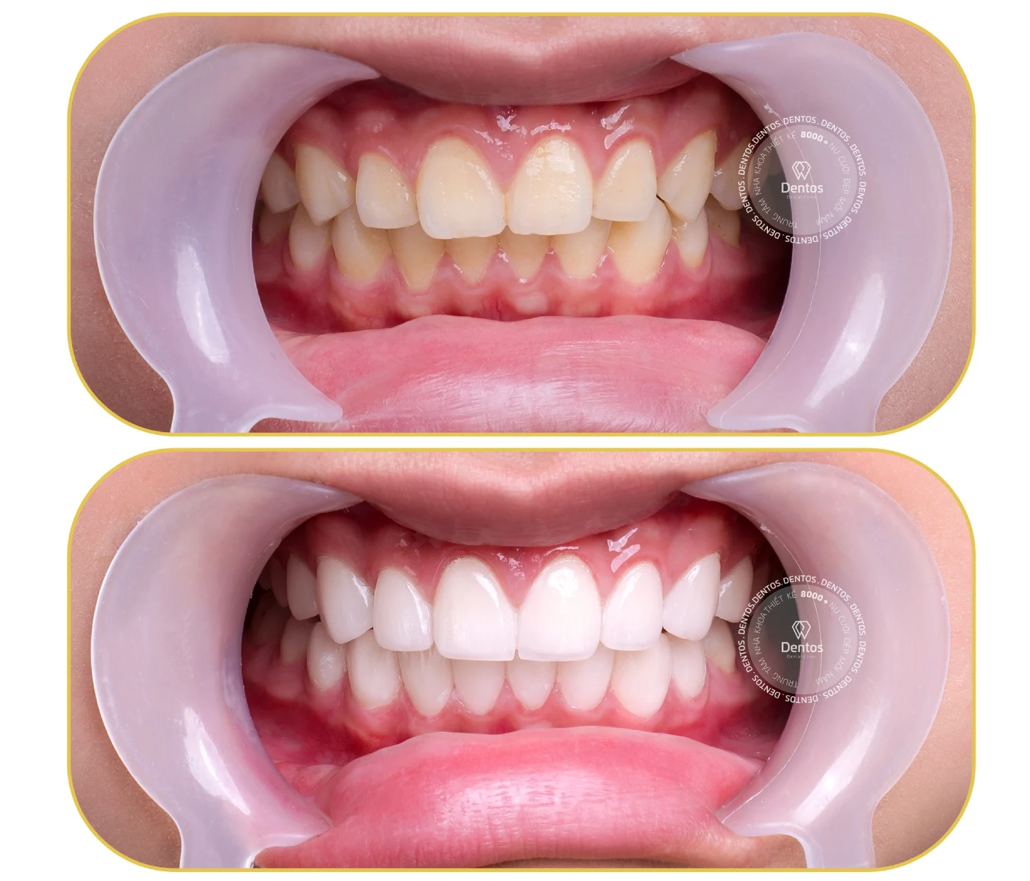
Răng sứ với lớp sứ mỏng được bao phủ toàn bộ răng, che đi toàn bộ các khuyết điểm, giúp răng trở nên trắng sáng, đều màu hơn. Bên cạnh đó, răng sứ có nhiều màu sắc khác nhau, bạn có thể dễ dàng lựa chọn theo sở thích hoặc màu răng tương đồng với màu răng hiện tại. Đặc biệt, răng sứ có khả năng chống nhiễm màu và giữ màu sắc tốt, giúp răng trở nên sáng, trắng và tự nhiên hơn.

- Độ bền cao, đảm bảo chức năng nhai cho răng
Răng sứ sở hữu độ cứng cao gấp 9 lần răng thật và có tuổi thọ lên trọn đời nếu được chăm sóc đúng cách. Do đó, bạn hoàn toàn có thể yên tâm khi sử dụng răng sứ trong quá trình ăn uống, sinh hoạt hàng ngày.
- Bảo vệ cùi răng thật
Bên cạnh chức năng thẩm mỹ, răng sứ còn có “nhiệm vụ” bảo vệ cùi răng thật khỏi vi khuẩn và mảng bám gây hại cho răng. Đặc biệt, các trường hợp răng đã điều trị tuỷ, răng sứ có công dụng như tấm lá chắn bảo vệ cùi răng thật một cách tối đa.
- Cải thiện giọng nói
Răng vỡ, sứt mẻ có thể khiến giọng nói bị biến đổi và khó nghe, gắn răng sứ thẩm mỹ giúp cải thiện giọng nói trở nên bình thường, giúp bạn truyền tải thông tin tới đối phương một cách dễ dàng hơn.
Với những thông tin trên, vậy bạn đã có câu trả lời bọc răng sứ có tốt không hay chưa?
2. Nên bọc răng sứ cho những trường hợp nào?
Bọc răng sứ có tốt không còn tùy thuộc vào nhu cầu và tình trạng của mỗi người. Dưới đây là những trường hợp nên bọc răng sứ mà bạn có thể tham khảo. Ngoài ra, bạn nên tiến hành thăm khám và tư vấn tại các địa chỉ nha khoa uy tín để có câu trả lời chính xác nhất dành cho mình nhé!
- Răng bị nứt, gãy hoặc hư hỏng nặng do chấn thương.
- Răng bị sâu, mục răng hoặc bị tổn thương nhiều lớp men răng.
- Răng bị đen, xỉn màu và không thể khử hết bằng phương pháp tẩy trắng.
- Răng bị mất do tai nạn hoặc do suy giảm sức khỏe nha khoa.
- Mong muốn cải thiện hình dáng răng, kích thước răng hoặc vị trí răng không cân đối.
- Cần bọc răng cầu, răng trụ cho các răng bị mất.

3. Bọc răng sứ ở đâu an toàn và chất lượng?
Mặc dù bạn đã có câu trả lời bọc răng sứ có tốt không, nhưng việc chọn địa chỉ để thực hiện dịch vụ này cũng là một yếu tố quan trọng giúp quá trình diễn ra hiệu quả và nhanh chóng hơn mà bạn nên cân nhắc. Bởi không phải cơ sở nào cũng đều cung cấp dịch vụ bọc răng sứ chất lượng và an toàn. Việc chọn một cơ sở uy tín sẽ giúp tránh được tối đa những biến chứng và rủi ro không mong muốn trong quá trình bọc răng sứ.
Nếu bạn đang tìm kiếm một địa chỉ uy tín tại TP.HCM, hãy tham khảo Dentos - địa chỉ nha khoa hàng đầu với 3 chi nhánh đã phục hơn 30.000+ khách hàng và kiến tạo 8000+ nụ cười rạng rỡ mỗi năm. Với đội ngũ bác sĩ chuyên môn cao, giàu kinh nghiệm cùng trang thiết bị hiện đại và nguồn răng sứ được nhập khẩu chính hãng (Răng sứ Orodent, Lava, Cercon, DDBio...), Dentos cam kết mang đến cho khách hàng những kết quả tốt nhất, đảm bảo sức khỏe và tính thẩm mỹ cho nụ cười của bạn.

Trên đây là toàn bộ thông tin các trường hợp nên bọc răng sứ cũng như bọc răng sứ có tốt không. Hy vọng bài viết trên sẽ giúp ích cho bạn trong quá trình kiến tạo nụ cười tự tin của riêng mình. Hãy liên hệ Dentos ngay hôm nay để được thăm khám và tư vấn hoàn toàn miễn phí!
Xem thêm:


