Phủ sứ nano là gì? Phủ sứ nano có phải bọc răng sứ không?
Phủ sứ nano từng là trào lưu làm đẹp răng hot trên thị trường, nhưng Nha khoa Dentos đã chứng kiến không ít khách hàng phải gánh chịu hậu quả nghiêm trọng từ kỹ thuật này. Bạn có từng nghe về phủ sứ nano và tin rằng đó là giải pháp làm trắng răng ưu việt, thậm chí là phiên bản nâng cấp của bọc răng sứ? Hãy cẩn trọng! Sự thật về phủ sứ nano có thể khiến bạn bất ngờ. Cùng nha khoa Dentos tìm hiểu nhé!
1. Phủ sứ nano: Sự thật đằng sau trào lưu từng rầm rộ
Phủ sứ nano thực chất không phải là một công nghệ nha khoa chính thống, mà chỉ là tên gọi mỹ miều của kỹ thuật trám răng composite. Trong khi quảng cáo thường thổi phồng đây là phương pháp công nghệ nano tiên tiến, thực tế, vật liệu sử dụng chỉ là composite – nhựa tổng hợp quen thuộc trong nha khoa, dùng để trám răng sâu hoặc chỉnh sửa răng sứt mẻ. Từ nano được thêm vào có thể ám chỉ kích thước hạt siêu nhỏ trong composite, giúp tạo độ bóng bề mặt tức thì, nhưng không hề mang lại độ bền chắc hay tính chất ưu việt như sứ ceramic dùng trong bọc răng sứ.

2. Phủ sứ nano có phải bọc răng sứ không?
Phủ sứ nano không phải bọc răng sứ. Đây là một sự thật quan trọng mà nhiều người đã bị đánh lừa bởi các chiêu trò quảng cáo. Bọc răng sứ là kỹ thuật phục hình phức tạp, đòi hỏi mài răng, lấy dấu, chế tác mão sứ tại Labo và gắn cố định mão sứ lên răng. Trong khi đó, phủ sứ nano chỉ đơn thuần là lớp composite mỏng manh đắp trực tiếp lên răng, hoàn toàn không bao phủ và bảo vệ toàn bộ thân răng như bọc răng sứ.
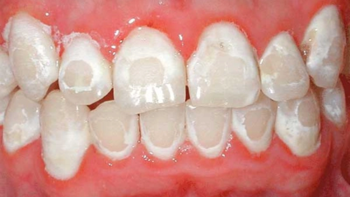
3. Hậu quả nghiêm trọng khi phủ sứ nano tại spa
- Viêm nướu, hôi miệng kéo dài: Lớp composite đắp không khít sát, thậm chí lấn vào nướu, tạo khe hở cho vi khuẩn và mảng bám tích tụ. Tình trạng này gây viêm nướu, viêm nha chu, dẫn đến hôi miệng khó chịu.
- Lớp phủ dễ vỡ, bong tróc: Composite vốn có độ bền cơ học thấp hơn sứ, đặc biệt khi được thực hiện bởi người không chuyên, lớp phủ dễ bị mẻ, vỡ, bong tróc sau thời gian ngắn sử dụng.

- Ảnh hưởng chức năng ăn nhai: Khác với bọc răng sứ, việc đắp composite không tính toán khớp cắn gây ra tình trạng kênh, cộm, có thể dẫn đến đau khớp thái dương hàm, mòn răng và các vấn đề chức năng nhai.
4. Nguyên nhân chính của biến chứng phủ sứ nano
Quy trình phủ sứ nano tại spa hay thẩm mỹ viện thường rất sơ sài, tập trung vào thẩm mỹ tức thì mà bỏ qua sức khỏe răng miệng lâu dài. Kỹ thuật viên tại đây thiếu kiến thức nha khoa chuyên sâu và không được đào tạo bài bản, chỉ đơn giản đắp composite lên răng rồi chiếu đèn làm cứng. Hậu quả là nướu dễ bị tổn thương, kích ứng, khớp cắn sai lệch, hôi miệng kéo dài...
5. Lời khuyên từ nha khoa Dentos cho hàm răng đều đẹp lâu dài
Để sở hữu hàm răng đều đẹp và nụ cười rạng rỡ bền vững, Nha khoa Dentos khuyên bạn nên hiểu rõ bản chất của "phủ sứ nano" và tránh xa phương pháp này. Thay vào đó, hãy cân nhắc đến các giải pháp phục hình răng đã được kiểm chứng về hiệu quả và an toàn, đó là bọc răng sứ và dán sứ veneer. Trong đó:
- Bọc răng sứ: Là lựa chọn tối ưu cho các trường hợp răng bị tổn thương lớn, như răng sâu, vỡ mẻ, răng yếu, hoặc răng đã điều trị tủy. Mão răng sứ sẽ bao bọc và bảo vệ toàn bộ thân răng, phục hồi chức năng ăn nhai và thẩm mỹ một cách toàn diện. Dentos sử dụng các dòng sứ toàn sứ cao cấp như Cercon, Zirconia, Lava Esthetic... cho dịch vụ bọc răng sứ, đảm bảo độ bền chắc, màu sắc tự nhiên và khả năng tương thích sinh học tuyệt vời.

- Dán sứ veneer: Là giải pháp lý tưởng cho các trường hợp răng có khuyết điểm nhẹ về hình dáng, màu sắc, như răng thưa, răng hô nhẹ, răng nhiễm màu, răng sứt mẻ nhỏ. Veneer sứ chỉ là lớp sứ mỏng dán lên bề mặt răng, bảo tồn răng thật tối đa và mang lại vẻ đẹp tự nhiên, tinh tế.
Tại Nha khoa Dentos, chúng tôi cung cấp dịch vụ bọc răng sứ và dán sứ Veneer chính hãng với quy trình chuẩn y khoa, được thực hiện bởi đội ngũ bác sĩ chuyên môn cao, sử dụng vật liệu sứ chính hãng và công nghệ CAD/CAM hiện đại. Chúng tôi cam kết mang đến cho bạn giải pháp phục hình răng sứ an toàn, hiệu quả, thẩm mỹ và bền vững, giúp bạn tự tin tỏa sáng với nụ cười khỏe đẹp.
Hãy đến Nha khoa Dentos để được tư vấn và thăm khám miễn phí!
Xem thêm:


